
Agnieszka Jankowska-Smolińska
dyrektor medyczny DeClinic Mokotów, lekarz dentysta, protetyk
Po usunięciu zęba, z upływem czasu, następuje zanik kości, w której ząb się znajdował. U niektórych osób utrata kości jest znaczna, co uniemożliwia wszczepienie i utrzymanie standardowego implantu. Zachodzi wówczas konieczność przeprowadzenia zabiegów odtwórczych – podniesienia dna zatoki szczękowej czy przeszczepienia kości (którą możemy pobierać się z okolicy bródki, kości sklepienia czaszki, gałęzi żuchwy lub talerza kości biodrowej). Wykorzystanie implantów zygomatycznych pozwala uniknąć tych inwazyjnych i czasochłonnych procedur.
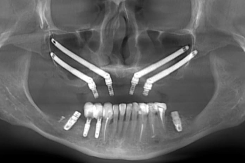
Implanty zygomatyczne są 3 do 5 razy dłuższe niż konwencjonalne. Umieszcza się je pod wyraźnym kątem. Cechy te pozwalają na ich zakotwiczenie w kościach jarzmowych (policzkowych), z ominięciem zatok szczękowych. Dzięki temu implanty zygomatyczne mogą być stosowane do rekonstrukcji górnych zębów, gdy jakość lub ilość kości szczęki jest zmniejszona. Leczenie przy użyciu implantów jarzmowych zostało po raz pierwszy zastosowane w końcu lat 80-tych ubiegłego wieku i, z pewnymi modyfikacjami, jest z powodzeniem wykorzystywane do dziś.
Do leczenia z wykorzystaniem implantów zygomatycznych najczęściej kwalifikujemy pacjentów: używających częściowej lub całkowitej protezy górnej; posiadających w szczęce uzębienie resztkowe; nieposiadających górnych zębów. Często są to osoby, które z uwagi na masywne zaniki kości były wcześniej dyskwalifikowane z leczenia implantoprotetycznego przy użyciu standardowych implantów.
W celu zaplanowania leczenia z wykorzystaniem implantów jarzmowych wykonywana jest: tomografia komputerowa części twarzowej czaszki, konieczna do oceny warunków kostnych do wszczepienia implantów oraz wykluczenia schorzeń zatok szczękowych; analiza możliwości odbudowy protetycznej.
Wszczepienie implantów jarzmowych odbywa się w znieczuleniu ogólnym. Procedurę może przeprowadzić tylko specjalista, którego przeszkolenie w tym zakresie zostało potwierdzone odpowiednimi certyfikatami. W DeClinic zabiegi wszczepienia implantów zygomatycznych przeprowadza dr Radosław Bartosz, doświadczony chirurg szczękowo-twarzowy, a odbudowy protetyczne wykonują dr Małgorzata Bachanek, dr Katarzyna Dębińska i dr Agnieszka Jankowska.
Po wszczepieniu implantów zygomatycznych, w odróżnieniu od standardowych, nie jest wymagany 6-miesięczny okres oczekiwania na integrację z kością. Implanty jarzmowe bezpośrednio po wszczepieniu mają zazwyczaj stabilizację wystarczającą do utrzymania tymczasowego mostu. Często można go założyć już w ciągu doby od zabiegu. Po 6 miesiącach integracji implantów most tymczasowy zastępowany jest mostem ostatecznym. Chcesz sprawdzić, czy implanty jarzmowe są rozwiązaniem dla ciebie? Już dziś zgłoś się do DeClinic!