Po wykonaniu planu leczenia przeprowadzono leczenie endodontyczne polegające na pierwotnym oraz wtórnym leczeniu kanałowym i wzmocnieniu zębów włóknami szklanymi. Działania ortodontyczne polegały w pierwszej kolejności na uszeregowaniu zębów i przygotowaniu warunków zgryzowych do możliwości wykonania pracy protetycznej. W miejscu planowanej implantacji wykonano chirurgiczny przeszczep bloku kostnego.
Całoceramiczne odbudowy zębów, czyli korony i licówki okrężne to poprawa zarówno estetyki jak i przede wszystkim poprawnej funkcji startych i zniszczonych zębów Pacjenta. Praca protetyczna była naturalizowana indywidualnie, zgodnie z życzeniem Pacjenta, który nie chciał zbyt jasnych i zbyt równych zębów.
lekarz dentysta, endodonta
lekarz medycyny, lekarz stomatolog, specjalista chirurgii szczękowo-twarzowej


Pacjentka zgłosiła się do Kliniki z powodu dolegliwości bólowych i przebarwienia zęba 21 (lewa górna jedynka). Badanie tomograficzne wykazało, że ząb wymaga powtórnego leczenia kanałowego i resekcji wierzchołka korzenia z powodu rozległego stanu zapalnego rozprzestrzeniającego się w kości.
Na leczenie składało się:
lekarz dentysta, endodonta
lekarz medycyny, lekarz stomatolog, specjalista chirurgii szczękowo-twarzowej
lekarz dentysta, protetyk


Prezentowana metamorfoza dotyczy Pacjenta, który przeszedł wiele zabiegów w obrębie jamy ustnej ze względu na przebyty rozszczep wargi i podniebienia. Po wielu trudnych doświadczeniach pragnął wreszcie cieszyć się komfortem funkcjonowania uzębienia i zadowalającą estetyką.
W dolnym łuku zaplanowano leczenie i odbudowę kompozytową zębów własnych Pacjenta oraz uzupełnienie braków zębowych w odcinkach bocznych koronami na implantach, co poskutkowało bardzo harmonijnym i estetycznym wyglądem łuku dolnego oraz poprawiło relacje zwarciowe.
Leczenie w łuku górnym było wielkim wyzwaniem pod względem chirurgicznym, ponieważ kość szczęki była znacznie zdeformowana wskutek przebytego rozszczepu podniebienia. Zabiegi regeneracji kości umożliwiły wprowadzenie 7 implantów oraz przygotowanie wysoce estetycznego mostu ceramicznego opartego na implantach.
lekarz dentysta, endodonta
lekarz dentysta, protetyk
lekarz medycyny, lekarz stomatolog, specjalista chirurgii szczękowo-twarzowej


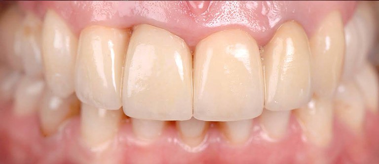
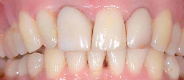
Pacjentka zgłosiła się z powodu braku zęba 21 (górnej lewej jedynki).
Po pełnej diagnostyce rozpoczęto od dokładnej higienizacji i instruktażu higieny jamy ustnej.
W miejscu brakującej jedynki wykonano augmentację (regenerację kości) uzyskując pożądaną szerokość wyrostka zębodołowego a następnie wszczepiono implant. Pacjentka przeszła również leczenie ortodontyczne, które miało na celu odtworzenie miejsca w zgryzie m.in. na brakujący ząb 21.
Następnie zaplanowano leczenie protetyczne. Przy pomocy korony tymczasowej na implancie kształtowano tkanki miękkie (dziąsło) by zenity (najwyżej położone punkty) obu jedynek znajdowały się na tym samym poziomie.
Zależało nam, by obie jedynki były symetryczne (identycznej szerokości), dlatego też na prawą jedynkę zaplanowano licówkę pełnoceramiczną a na jedynkę lewą wykonano koronę na implancie (po uprzedniej analizie zwarcia na modelu gipsowym).
Ząb 22 z powodu zmiany zapalnej został wyleczony endodontycznie i zaopatrzony wkładem z włókna szklanego a następnie koroną pełnoceramiczną.
lekarz dentysta, endodonta
lekarz medycyny, lekarz stomatolog, specjalista chirurgii szczękowo-twarzowej


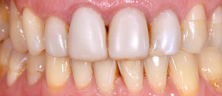
Pacjentka zgłosiła się do DeClinic w celu odbudowy estetycznej oraz poprawy funkcji żucia. Praca rozpoczęła się od dokładnej diagnostyki oraz ustaleniu oczekiwań estetycznych. W łuku górnym po usunięciu rozchwianych zębów wykonano most ceramiczny w odcinku przednim oraz korony w odcinku bocznym. Łuk dolny również stanowił nie lada wyzwanie, ponieważ Pacjentka przez wiele lat nie użytkowała żadnej pracy protetycznej uzupełniającej braki zębowe, a zły układ zębów powodował niszczenie własnych tkanek. Wykonano korony łączone w odcinku przednim oraz zatrzaskową protezę uzupełniającą braki zębów. Praca zgodnie z życzeniem Pacjentki odbudowała i wzmocniła zarówno zęby własne, jak i uzupełniła braki zębowe. Całościowy efekt rekonstrukcji udało się osiągnąć przy wykorzystaniu własnych zębów.
lekarz dentysta, endodonta


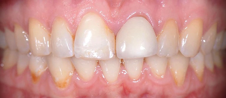
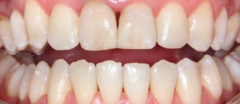
Pacjentka zgłosiła się do DeClinic w celu poprawy uśmiechu w odcinku przednim. Na podstawie badania tomograficznego okazało się, że górna lewa jedynka wymagała rewizji endodontycznej ze względu na zmianę zapalną około wierzchołkową. Przed wykonaniem rekonstrukcji protetycznej wybielono oba łuki zębowe oraz wykonano leczenie zachowawcze. Na górnej prawej jedynce, górnej lewej dwójce wykonano licówki pełnoceramiczne. Na górnej lewej jedynce wykonano koronę pełnoceramiczną.
lekarz dentysta, endodonta
lekarz dentysta, protetyk, lekarz medycyny estetycznej.


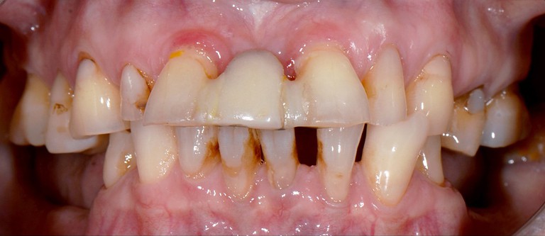
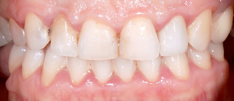
Pacjentka zgłosiła się do DeClinic z licznymi ubytkami próchnicowymi oraz nieszczelnymi i nieestetycznymi wypełnieniami.
Po wykonaniu pełnej diagnostyki, Pacjentka rozpoczęła swoją drogę do pełnej rekonstrukcji zwarcia. Wykonano odbudowę kości i tkanek miękkich przed zabiegiem implantacji pięciu wszczepów. Zastosowano leczenie zachowawcze oraz protetyczne, które obejmowało korony protetyczne na implantach oraz korony i licówki pełnoceramiczne na zębach własnych.
lekarz dentysta, protetyk
lekarz medycyny, lekarz stomatolog, specjalista chirurgii szczękowo-twarzowej


Pacjent zgłosił się do kliniki z dysfunkcją żucia (niemożliwość dopasowania zębów do siebie tzw. efekt „wielu zgryzów”) oraz chęcią poprawy estetyki uśmiechu.
Leczenie rozpoczęto od ustawienia prawidłowych relacji pomiędzy zębami, przy pomocy szyny nagryzowej. Kolejno przygotowano wizualizację i po jej akceptacji przez Pacjentkę wykonano odbudowę funkcjonalno – estetyczną zębów. Odbudowa bazuje na ceramicznych licówkach o poszerzonym zasięgu, indywidualizowanych na życzenie Pacjenta.
lekarz dentysta, endodonta
lekarz dentysta, specjalista periodontologii


Przeprowadzono wybielanie z zastosowaniem hybrydowej lampy Beyond Polus. Pomimo nie łatwego przypadku, efekt tuż po samym zabiegu jest bardzo pozytywny i wyraźnie widoczny.
asystentka stomatologiczna, higienistka


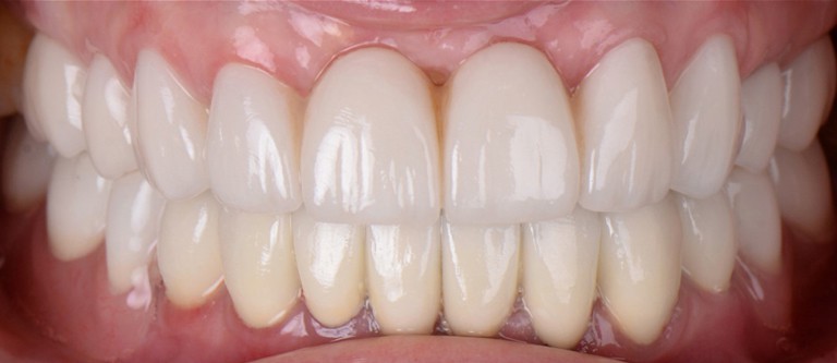
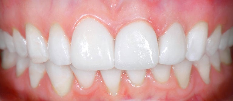
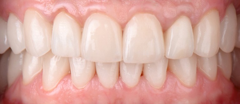
Założeniem leczenia była poprawa estetyki uśmiechu, przywrócenie symetrii siekaczy oraz przykrycie przebarwionych zębów. Pełna diagnostyka ujawniła konieczność poprawny leczeń kanałowych wykonanych u Pacjentki na przestrzeni kilku ostatnich lat.
Przygotowane zostało woskowanie diagnostyczne (tzw. wax-up), które ma na celu przełożenie oczekiwań zarówno Pacjenta jak i lekarza na modele gipsowe, na podstawie którego wykonane zostają klucze, za pomocą których przymierzamy naszą wizualizacją w jamie ustnej (tzw. mock-up).
W celu uzyskania najbardziej zadowalającego efektu konieczna była współpraca periodontologa.
Ostatecznie po zakończeniu leczenia endodontycznego i zachowawczego zęby w odcinku przednim zostały zaopatrzone licówkami i koronami pełnoceramicznymi, a w odcinkach bocznych wykonaliśmy nakłady.
lekarz dentysta, endodonta
lekarz dentysta, specjalista periodontologii
lekarz dentysta, protetyk

