Wykonano kompleksową metamorfozę.

Wykonano kompleksową metamorfozę.

Pacjent zgłosił się do kliniki ze startymi zębami i licznymi ukruszeniami. Po diagnostyce okazało się, że występują u Pacjenta również przyszyjkowe ubytki szkliwa, spowodowane zgrzytaniem i zaciskaniem zębów.
Leczenie rozpoczęliśmy od dokładnego oczyszczenia zębów, następnie przeprowadzono leczenie zachowawcze i endodontyczne, co stanowiło przygotowanie do odbudowy protetycznej. Jedynie zdrowe zęby mogą być podjęte leczeniem estetycznym, dzięki czemu minimalizujemy wystąpienie kłopotów zdrowotnych z jamą ustną w przyszłości.
Po przeprowadzeniu wielu badań oraz projektów wykonano deprogramację, cyfrowe projektowanie uśmiechu oraz analizę warunków zwarciowych. Następnie przygotowano indywidualne licówki pełnoceramiczne, które zostały umieszczone w obu łukach zębowych.

Pacjent zgłosił się do kliniki w celu przywrócenia naturalnego uśmiechu i naturalnych kolorów zębów. Wykonano specjalistyczną diagnostykę RTG i zaplanowano kompleksowe leczenie. Dzięki zastosowaniu nowoczesnej stomatologii mogliśmy przywrócić zdrowie zębom oraz uzyskać estetycznych wygląd całego uśmiechu.

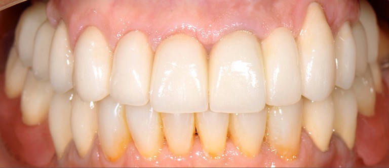
Pacjent zgłosił się z pożółkłym kolorem zębów, uciążliwą wadą zgryzu, startymi i wrażliwymi zębami.
Wykonano kompleksową diagnostykę i zaplanowano leczenie stomatologiczne przez zespół specjalistów DeClinic.

Przeprowadzona pełną diagnostykę RTG i tomografie komputerową. Zaplanowano każdy etap wielospecjalistycznego leczenia stomatologicznego.
W odcinku bocznym wszczepiono 2 implanty. Posłużyły one za bazę do przykręconego mostu protetycznego, dzięki czemu nasza Pacjentka znów może przeżuwać i szeroko się uśmiechać. W odcinku przednim dolnego łuku zębów, wszczepiono 4 implanty jako podstawa niezwykle wygodnej i wysoce estetycznej zdejmowane pracy protetycznej. Dzięki temu uzyskano stabilizacje zgryzu oraz przywrócono utraconą funkcję gryzienia. Praca protetyczna z idealnie dobranym kształtem, kolorem oraz subtelną przeziernością obejmowała 6 koron pełnoceramicznych w łuku górnym. Część zębów została również przeleczona endodontycznie.

Pacjentce zależało na poprawie estetyki uśmiechu. Wykonano wybielanie zębów oraz na górnej prawej jedynce licówkę dopasowana do koloru szkliwa pozostałych zębów.

Po wykonaniu planu leczenia przeprowadzono leczenie endodontyczne polegające na pierwotnym oraz wtórnym leczeniu kanałowym i wzmocnieniu zębów włóknami szklanymi. Działania ortodontyczne polegały w pierwszej kolejności na uszeregowaniu zębów i przygotowaniu warunków zgryzowych do możliwości wykonania pracy protetycznej. W miejscu planowanej implantacji wykonano chirurgiczny przeszczep bloku kostnego.
Całoceramiczne odbudowy zębów, czyli korony i licówki okrężne to poprawa zarówno estetyki jak i przede wszystkim poprawnej funkcji startych i zniszczonych zębów Pacjenta. Praca protetyczna była naturalizowana indywidualnie, zgodnie z życzeniem Pacjenta, który nie chciał zbyt jasnych i zbyt równych zębów.

Pacjentka zgłosiła się do Kliniki z powodu dolegliwości bólowych i przebarwienia zęba 21 (lewa górna jedynka). Badanie tomograficzne wykazało, że ząb wymaga powtórnego leczenia kanałowego i resekcji wierzchołka korzenia z powodu rozległego stanu zapalnego rozprzestrzeniającego się w kości.
Na leczenie składało się:
