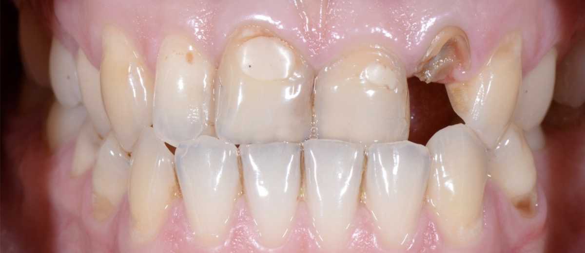
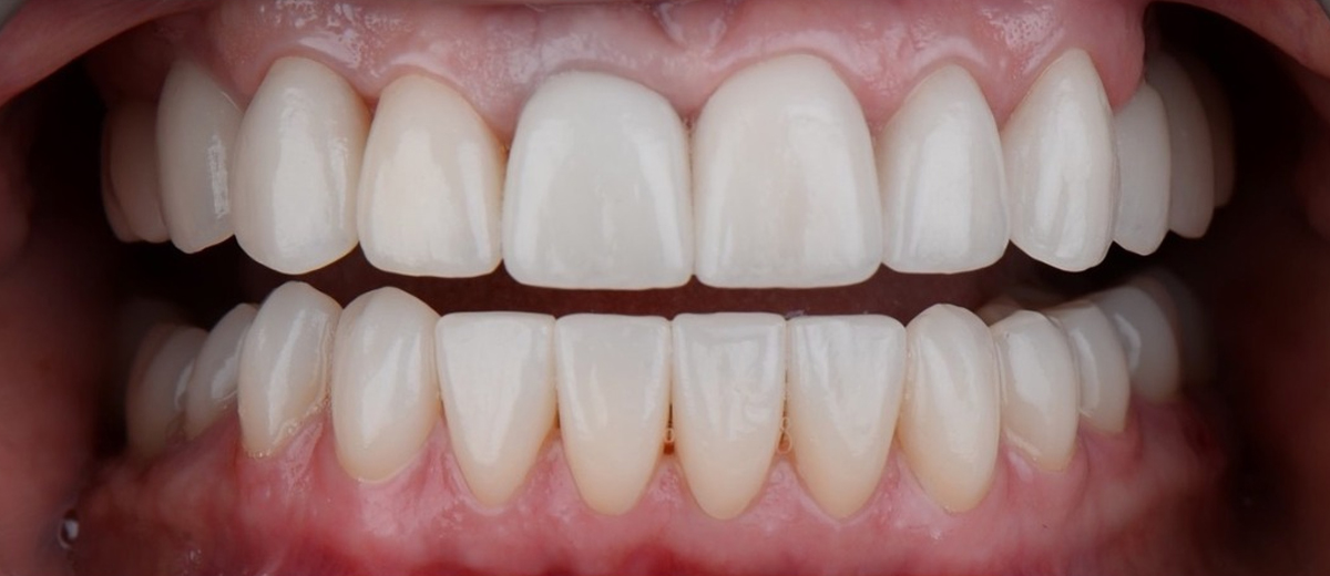
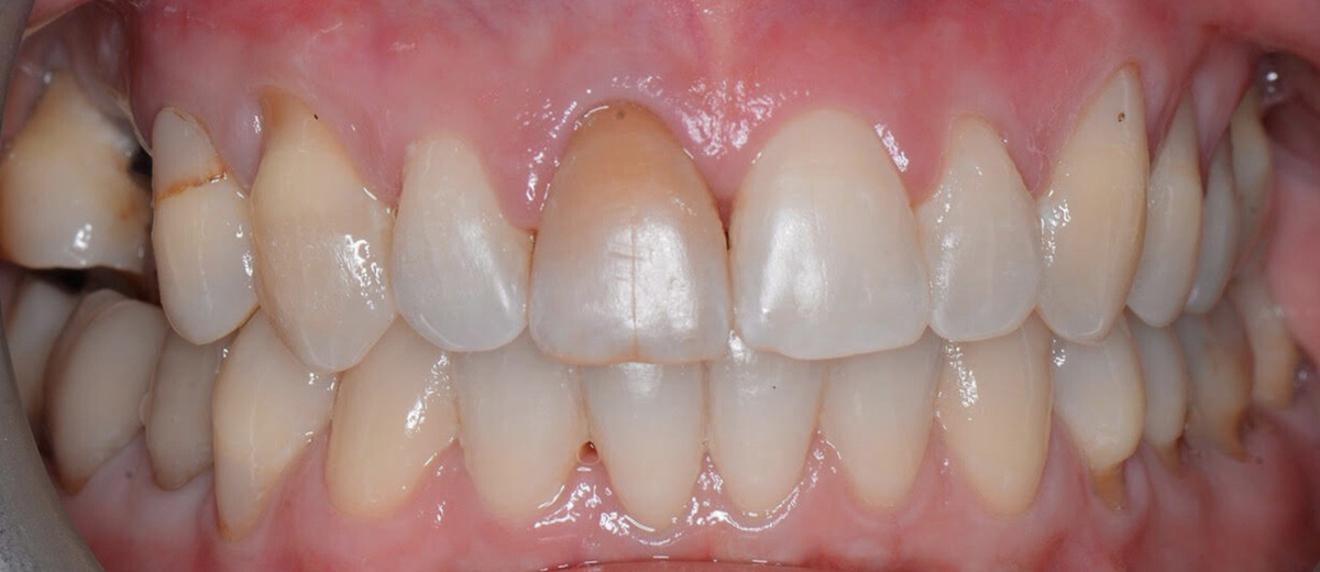
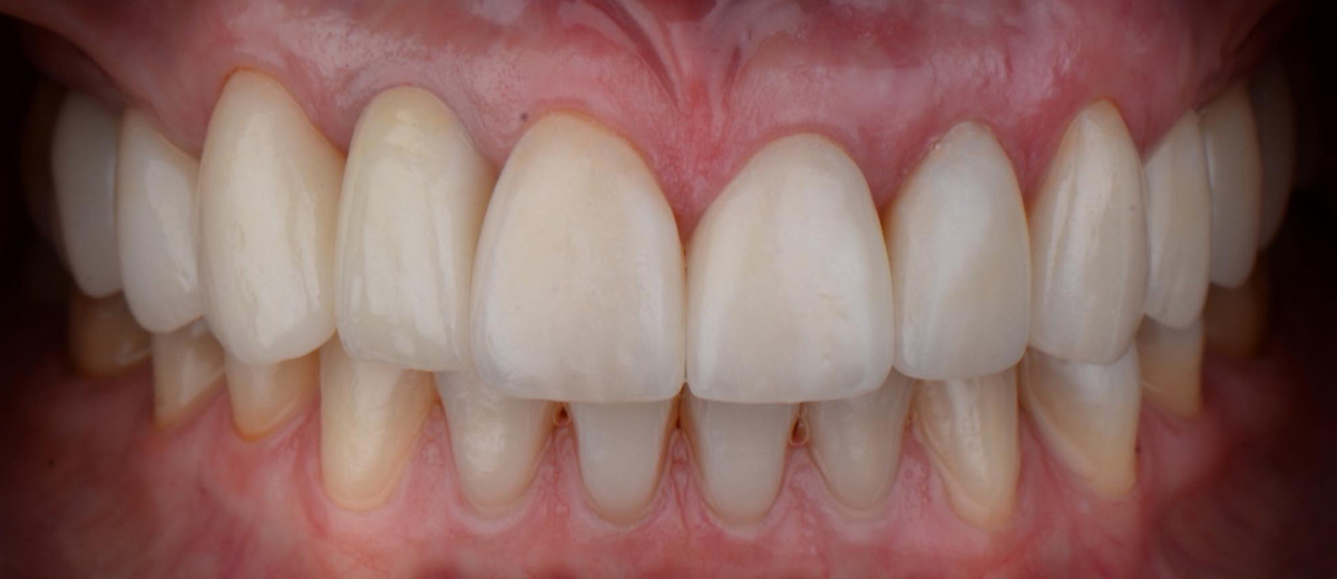
Wykonaliśmy leczenie endodontyczne, protetyczne z zastosowaniem koron cyrkonowych oraz higienizacje wraz z wybielaniem metodą nakładkową.

Za metamorfozę uśmiechu odpowiedzialni byli m.in.:
Wykonaliśmy leczenie endodontyczne, protetyczne z zastosowaniem koron cyrkonowych oraz higienizacje wraz z wybielaniem metodą nakładkową.





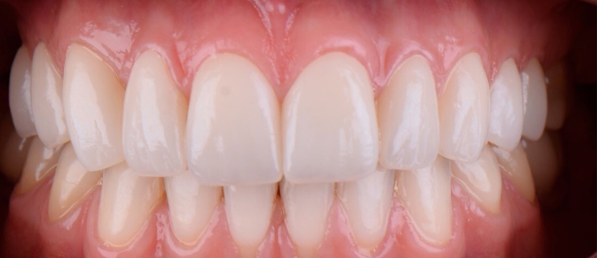
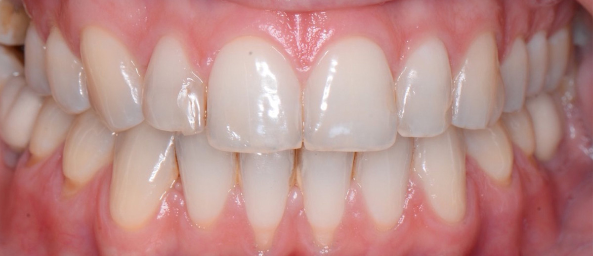
Utrata przedniego zęba, to nie tylko problem estetyczny, ale to także wyzwanie wpływające na komfort i pewność siebie. Prezentowana metamorfoza pokazuje, że nawet najbardziej wymagające przypadki znajdują swoje rozwiązanie w nowoczesnej stomatologii estetycznej.

Pacjentka zdecydowała się na leczenie ortodontyczne z wykorzystaniem aparatu stałego w górnym łuku oraz zabieg implantacji zęba, z późniejszą odbudową protetyczną w postaci pełnoceramicznych koron oraz korony na implancie.
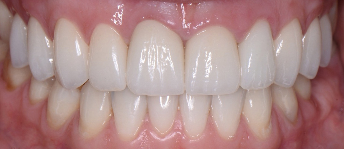
Kolejna piękna metamorfoza ukończona przez zespół specjalistów DeClinic.