


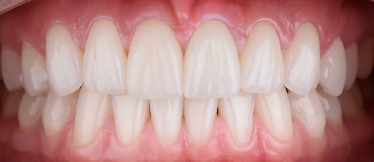
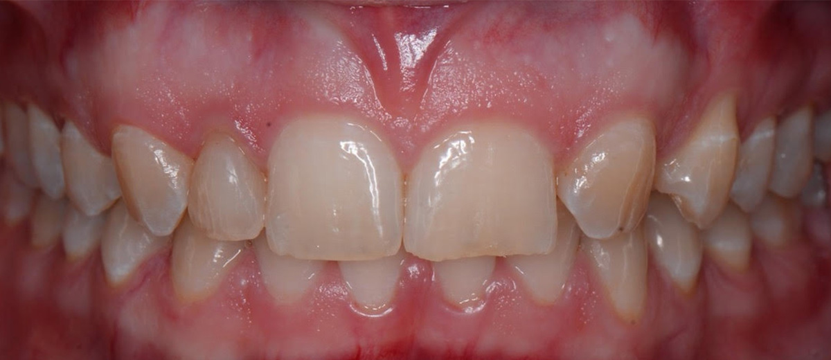
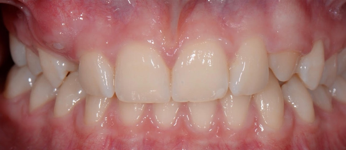
Następnie wykonano podcięcie wędzidełka wargi górnej, aby zapewnić prawidłową funkcję tkanek i stabilność dalszego leczenia.
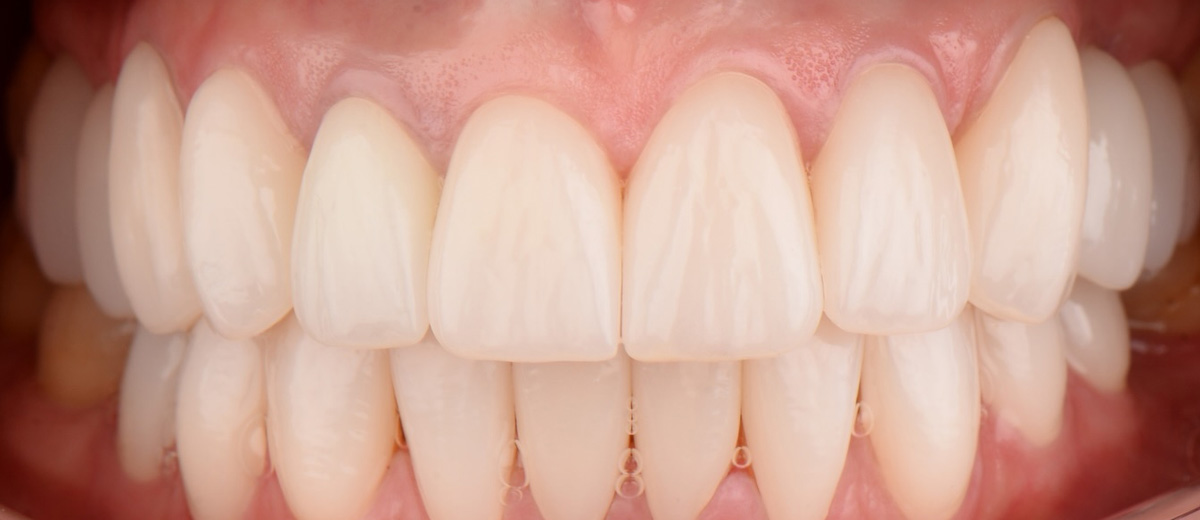
Ostatnim etapem była estetyczna odbudowa protetyczna – licówki na sześć zębów – wykonane przez dr Natalię Złotkowską.

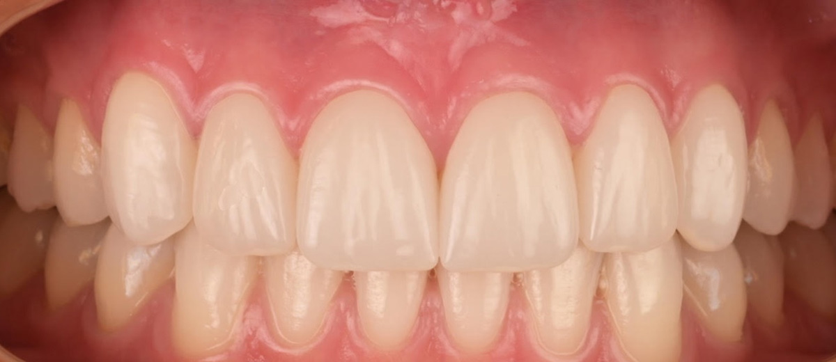
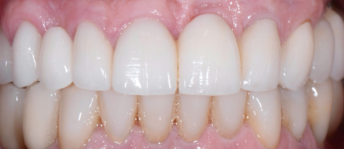
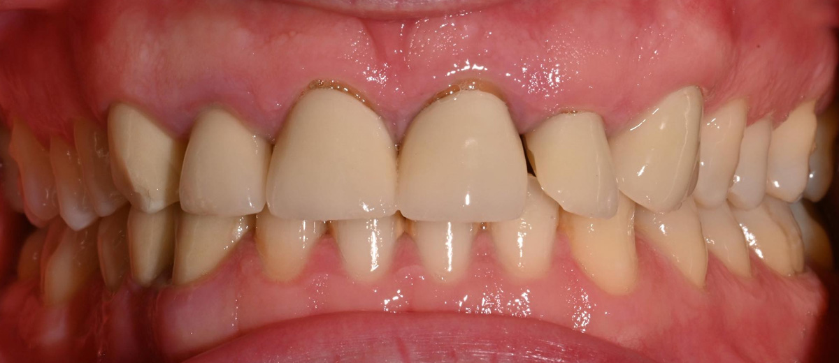
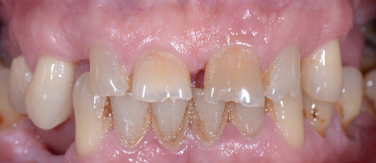
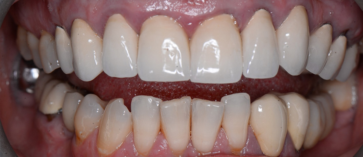
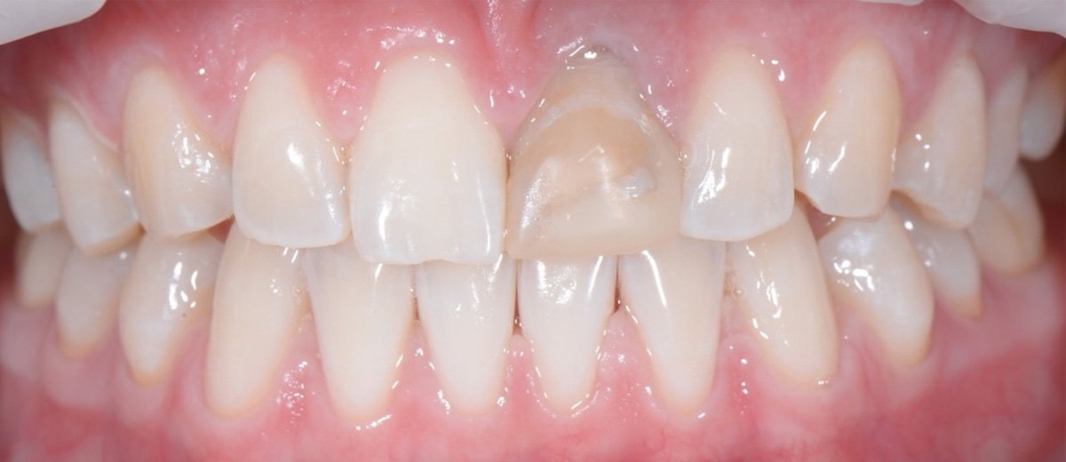
Pacjentka zgłosiła się do naszej kliniki w celu kompleksowego leczenia. Poprzednie uzupełnienia protetyczne – korony i mosty – były nieszczelne, a dodatkowo widoczna była recesja dziąseł. Usunięto stare mosty, przeprowadzono regenerację kości oraz dziąsła, wszczepiono implanty i wykonano leczenie endodontyczne.
Całość zwieńczyła precyzyjna odbudowa protetyczna z użyciem koron, koron na implantach i licówek cyrkonowych.

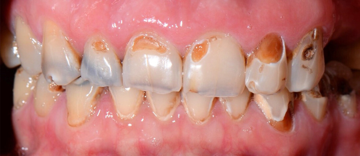
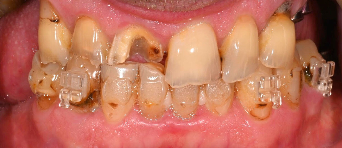
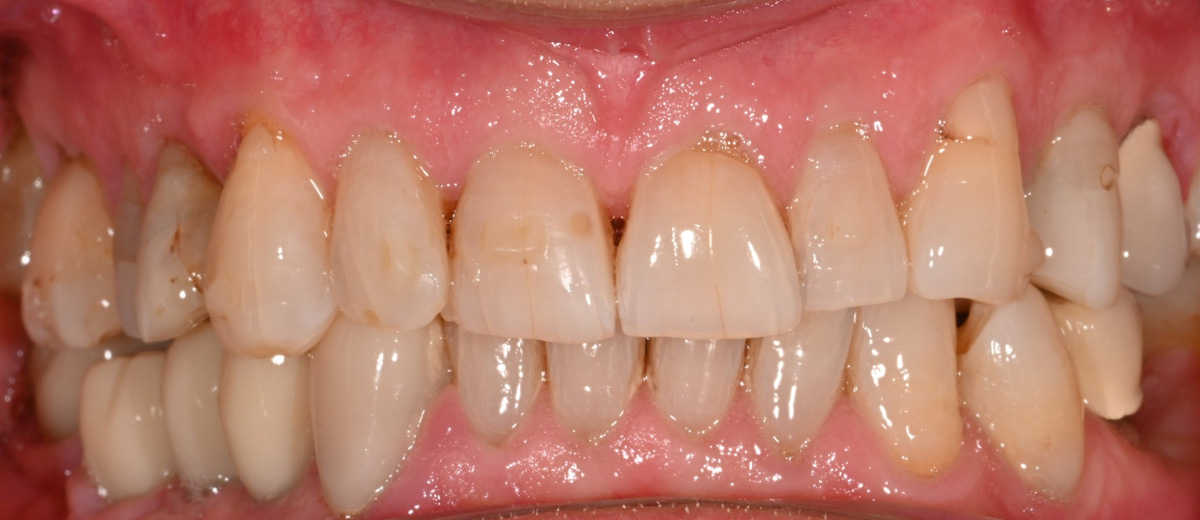
Pacjent zgłosił się z licznymi brakami zębowymi, startymi zębami, zanikiem poziomym kości oraz objawem Godona.
Plan leczenia obejmował regenerację kości w miejscu planowanej implantacji, leczenie chirurgiczno-implantologiczne, leczenie ortodontyczne oraz leczenie protetyczne z wykorzystaniem mostów i koron na zębach własnych oraz implantach.

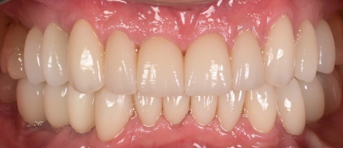
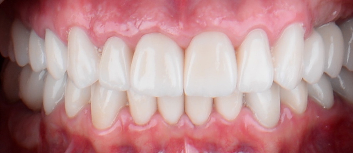
Pacjent zgłosił się do naszej kliniki z marzeniem o pięknym uśmiechu i wykonaniu licówek. Aby jednak osiągnąć ten efekt, konieczne było przygotowanie i zaangażowanie kilku specjalistów z różnych dziedzin stomatologii. Ten wymagający przypadek wymagał kompleksowego planu i ścisłej współpracy naszego zespołu.
Zastosowaliśmy korony pełnoceramiczne na zębach własnych pacjenta, korony na implantach oraz licówki. Dzięki temu udało się nie tylko przywrócić harmonijny i piękny uśmiech, ale przede wszystkim odbudować prawidłowe, zdrowe warunki zgryzowe!


